Последние статьи рубрики
Режим работы
-
Пн-Пт
09:00 — 20:00
Суббота Выходной
Воскресенье Выходной
Контакты
-
Тел: +7 (958) 578-16-53
Задайте вопрос
Как лечить гнилые зубы?
Гнилые зубы просто способ выявления обширных кариозных поражений, которые повредили большую часть поверхности зуба.
Так обычно называют зубы с трещинами и черными пятнами или с серьезной проблемой накопления зубного камня.
Когда мы имеем дело с зубом с такими характеристиками, важно обратиться в стоматологию Анапы, чтобы попытаться спасти его, иначе он может выпасть.
В этой статье мы объясним, чем опасны гнилые зубы, и какие методы лечения помогут восстановить здоровье полости рта.
Процесс образования гнилого зуба
Разрушение зубов является результатом действия кислот во рту, присутствующих в бактериальном налете, который не был эффективно очищен.
Кариозная полость формируется очень прогрессивно, поэтому нормально, что на ранних стадиях вы даже не замечаете боли.
Фактически, когда мы замечаем поражение зуба из-за кариеса, вполне возможно, что уже может потребоваться более сложное лечение, чем простая пломба.
Чтобы вовремя обнаружить кариес, важно 2 раза в год посещать стоматолога.
- Первоначально бактерии воздействуют на эмаль, внешний слой зубов.
- Когда эта ткань ослабевает, патогены переходят в дентин, который является частью, защищающей пульповую камеру.
- Поскольку эти ткани не регенерируют, это необратимое повреждение, которое можно вылечить только путем пломбирования зубов.
- Если вы не примете меры на ранней стадии, бактерии достигнут пульпы, которая соединяется с нервными тканями и кровеносными сосудами зуба, вызывая инфекцию или пульпит.
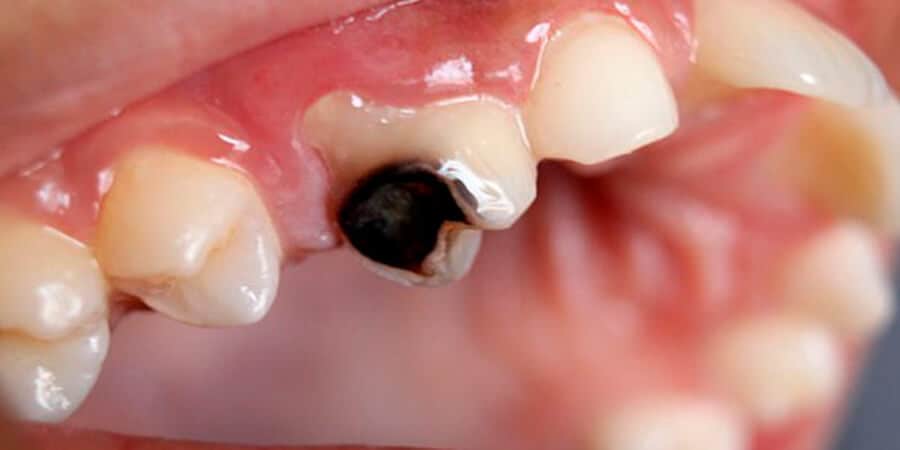
- Как только кариес достигнет этих внутренних слоев, на поверхности зуба неизбежно появятся черные пятна, и зуб начнет ломаться.

Другие последствия отказа от лечения кариеса
Самым серьезным последствием гнилого зуба является его потеря, но до этого момента пациент испытывает и другие последствия:
- Неприятный запах изо рта
- Наличие треснувших или сломанных зубов
- Сильная и локализованная боль при еде и питье
- Повышенная чувствительность зубов
Не игнорируйте кариозные полости! Кариес безостановочно повреждает зуб, поэтому желательно вовремя выполнить пломбирование зубов. Если вам необходимо лечение кариеса в Анапе, обращайтесь в нашу стоматологию «Русская жемчужина».
Как проходит лечение гнилых зубов?
Лечение кариеса и, в конечном итоге, гнилого зуба зависит от тяжести случая.
Стоматологическая пломба
Пломбирование зубов представляет собой процесс, посредством которого поврежденная ткань будет удалена и заполнена материалом — композитом.
Это подходящее лечение зубов, когда полости незначительны.
Коронка
В случае, если зуб потерял слишком большой объем, для его восстановления рекомендуется установить коронку.
Если поражение достигло пульпы и возникла инфекция, перед установкой коронки необходимо провести лечение корневого канала.
Зубной имплантат
Наконец, когда повреждение зуба слишком серьезное и спасти его невозможно, его придется удалить.
В этом случае подходящим лечением является установка зубного имплантата, который заменяет корень зуба и восстанавливает эстетику и функциональность полости рта.
Этот процесс проводится только у взрослых, поэтому, если это ребенок, стоматолог может оценить вариант установки съемного протеза.
Можно ли предотвратить появление гнилых зубов?
Как мы уже объясняли, гнилые зубы — это следствие того, что кариес не был устранен вовремя.
Поэтому лучший способ сохранить зубы здоровыми — это соблюдать ежедневную гигиену полости рта.
Помимо уже известной рекомендации чистить зубы два раза в день, мы хотим дать вам несколько практических советов для детей и взрослых.
- Используйте пасту со фтором
Фтор — компонент, способствующий укреплению эмали, делая ее более устойчивой к повреждающему действию полостей.
- Используйте дополнительные средства для межзубных пространств
Щетка является основным инструментом гигиены полости рта. Но, кроме того, не забывайте использовать зубную нить и жидкости для полоскания рта один раз в день.
Кроме того, не забывайте, что язык является частью ротовой полости и там скапливается большее количество бактерий, поэтому настоятельно рекомендуется чистить его скребком для языка.
Для еще более полной гигиены можно также использовать межзубные щетки и ирригатор для полости рта.
- Посещайте стоматолога не реже, чем 2 раза в год и проводите профессиональную чистку зубов
Соблюдая надлежащую гигиену дома и в стоматологической клинике, вы можете наслаждаться полностью функциональным и здоровым ртом.
Запишитесь на консультацию в стоматологию Анапы «Русская жемчужина» по телефону, указанному на сайте.