Последние статьи рубрики
Режим работы
-
Пн-Пт
09:00 — 20:00
Суббота Выходной
Воскресенье Выходной
Контакты
-
Тел: +7 (958) 578-16-53
Задайте вопрос
Зубной камень на зубах? Полное руководство, чтобы удалить его навсегда.
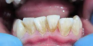
Зубной налет — это скопление бактерий на зубах в виде пленки. Если его не удалить, он имеет тенденцию со временем темнеть, становясь темно-коричневым и даже зеленым. Зубной камень на зубах не только некрасивый, но и вызывает воспаление десен. Если не лечить, это может привести к более серьезным проблемам.
Вот почему важно поддерживать надлежащую гигиену ротовой полости и чистить зубы у стоматолога 2 раза в год. В этой статье мы расскажем вам, что такое зубной камень, как его избежать, как удалить зубной камень в Анапе.
Что такое зубной камень?
Зубной камень — это накопление зубного налета на зубах, который в конечном итоге затвердевает. На ощупь это похоже на прилипший к зубам песок или камешки.
Зубной камень обычно возникает на краю десен, он может раздражать и вызывать воспаление в тканях десен.
Накопления образуются при минерализации налета на зубе. Они с большой силой прилипают к эмали и удалить их с помощью специальных инструментов могут только специалисты.
Знаете ли вы, что большинство людей страдают от зубных камней? Но не у всех он образуется с одинаковой интенсивностью. Например, у пожилых людей он образуется чаще, чем у молодых, из-за различных факторов, таких как сухость, изменение pH или уменьшенное слюноотделение из-за проблем, связанных с возрастом.
Накопление зубного камня небезопасно и может привести к более серьезным проблемам. Поэтому, если вы начали замечать во рту зубной камень, лучше, как можно скорее обратиться к стоматологу. Скорее всего, с профессиональной чисткой, проведенной гигиенистом, проблема решится.
Как образуются зубные камни?
Все начинается с плохой гигиены. Если не соблюдать надлежащую процедуру чистки зубов, отмершие клетки и остатки еды начинают накапливаться на зубах или краях десен, а зубной камень может появиться даже на зубных протезах, имплантатах и брекетах.
Постоянный контакт остатков зубного налета со слюной вызывает кальцификацию и превращение зубного камня. Вот почему говорят, что на ощупь это похоже на песок или камни, прилипшие к нашим зубам. Вещества, способствующие минерализации зубного налета, — это минеральные соли, входящие в состав нашей слюны.
Что такое минеральные соли?
В застывании налета виноваты минеральные соли. Они являются продуктом слюнных желез и состоят в основном из фосфатов, а также карбонатов кальция и фосфора.
Камни на 70-90% состоят из неорганических материалов, таких как минеральные соли кальция и магния, гидроксиапатит и карбонаты кальция, среди прочих.
Зубной камень очень пористый, что способствует удержанию во рту веществ из окружающей среды, таких как остатки пищи и слюны. Это также способствует росту бактерий, как живых, так и мертвых. Остальные 30-10% составляют органические материалы.
Этот органический материал также обычно связан с неразделимым слоем бактериального налета, который покрывает поверхность камней.
Почему появляется зубной камень?
Первое, что нужно иметь в виду, это то, что образование зубного камня у каждого человека разное. Это происходит в разной степени и пропорциях, в зависимости от различных аспектов. Среди них можно перечислить:
Плохая чистка полости рта
Чистка — один из самых важных аспектов, позволяющих избежать появления камня на зубах. При отсутствии бактериального налета не останется сырья для образования камней.
После профессиональной чистки у стоматолога накопление зубных камней будет зависеть от степени гигиены полости рта. Зубной камень может снова появиться через 2–3 недели, через 2–3 года или просто не появиться. Последний случай довольно редкий.
Если у пациента хорошие привычки в отношении гигиены полости рта, хорошая техника чистки зубов и удаление бактериального налета, у него не будет легко образовываться камни. Однако у людей, которые не чистят зубы должным образом, есть все шансы на его появление.
Слюна
Тип слюны является основным фактором накопления зубного камня. Знаете ли вы, что у каждого человека слюна разного состава?
Если количество минералов в слюне значительно, этот человек более склонен к появлению зубного камня. Напротив, пациенты с меньшим содержанием газированных солей в слюне, как правило, менее склонны к образованию зубного камня даже при плохой гигиене полости рта.
Плохие привычки
У курильщиков образование зубного камня более вероятно. В этом случае камни могут потемнеть уже через 15 дней после профессиональной чистки.
Употребление в пищу продуктов, богатых пигментами, таких как вино, чай, кофеин, некоторые фрукты, некоторые овощи, полоскания с хлоргексидином … также приводит к потемнению зубного камня, заставляя его становиться коричневым.
Причина в том, что этот тип пигментов делает камни более заметными.
Другие продукты, такие как крахмалы, способствуют появлению бактериального налета, а продукты, богатые углеводами, способствуют размножению бактерий.
Где обычно появляется зубной камень?
Камни легче прилипают к грубым поверхностям. Поэтому обычно он появляется на поверхности зубов. Он обладает такой способностью к прилипанию, что может образовываться в акриловых зубных протезах, имплантатах, скобах, отбеливающих пластинах или даже в шинах от бруксизма.
Обычно он не образуется в керамических или фарфоровых коронках, поскольку имеющийся на них полироль не позволяет прилипать бактериальному налету.
Он также не прилипает к мягким тканям, таким как десны.
Теоретически на натуральных зубах зубные камни можно найти на любой их поверхности. Однако они скапливаются чаще на стыке десны и зуба — десневом краю — в язычной области нижних передних зубов и в труднодоступных для зубной щетки местах, таких как края брекетов, полости или глубокие анатомические формы.
Также очень часто он накапливается в местах выхода слюнных желез. Отсюда тесная связь наличия зубных камней с околоушной железой и верхних вторых моляров или подъязычных желез с нижними резцами.
В зависимости от того, где расположен налет, различают два типа зубного камня:
Наддесневой зубной камень
Он накапливается на линии десен и виден невооруженным глазом. Обычно он беловатого или желтоватого цвета. Удалить зубной камень легко с помощью профессиональной чистки зубов.
Поддесневой зубной камень

Он образуется в кармане, образованном между поверхностью корня зуба и внутренней частью десны, известном как пародонтальный карман.
Его нелегко увидеть. Стоматологи могут обнаружить его во время стоматологического осмотра с помощью специальных инструментов, например, пародонтального зонда.
В некоторых случаях, если имеется большое количество поддесневого зубного камня, его также можно увидеть на периапикальных рентгеновских снимках.
Этот тип зубного камня плотный и твердый, намного темнее наддесневого: он может быть коричневым, темно-зеленым, от коричневого до черного. Очень плотно прилегает к поверхности зубов.
Как узнать, есть ли у вас зубной камень: симптомы
Зубные камни не болят. Конечно, они заметны при прохождении языком или при детальном рассмотрении зубов, особенно если они темного цвета.
Вы также можете заметить это, если оторвется кусок камня и вы почувствуете во рту нечто вроде гальки.
Многие люди беспокоятся только тогда, когда зубной камень влияет на здоровье ротовой полости или, когда он проявляется настолько сильно, что влияет на улыбку или воспаление десен. Когда зубной камень очень темный, некоторые даже путают его с полостями.
Как удалить зубной камень в Анапе?
Прежде чем вдаваться в подробности, мы расскажем вам об инструментах, используемых при чистке зубов. Обычно для удаления камней используются два типа инструментов.
Инструменты для удаления зубного камня
- Ручные инструменты

Чаще всего используются кюретки. Это такие же инструменты, как на фото, которые выглядят как маленькие острые лезвия. Что они делают? Они буквально соскребают камни с поверхности зубов.
Стоматолог располагает кюретку под наклоном 15-30 °и безопасно скользит по направлению к коронке, очищая камни, находящиеся на зубе.
- Электрооборудование

Есть несколько видов: ультразвуковые, скалеры, дозвуковые, кавитронные. Как правило, они работают, создавая определенную степень вибрации, которая при размещении на зубном камне позволяет ему отделиться.
У них есть активные наконечники, похожие на кюретки, только они не острые, так как их функция — не царапать.
Также у них есть наконечники разной формы. Это позволяет им лучше адаптироваться к зубным поверхностям и, таким образом, иметь возможность достигать труднодоступных мест.
Электрооборудование сильно нагревается, поэтому для его охлаждения и смазки используется вода.
Использование ультразвуковых инструментов не исключает использования ручных инструментов. В общем, чтобы добиться лучшей чистки, она начинается с ультразвука и заканчивается ручными инструментами. Особенно в случае очень плотно прилегающих камней.
Помимо ультразвука в нашей стоматологии в Анапе чистка проводится и Air Flow и Соникфил. Эта процедура применяется в том случае, когда зубная бляшка еще не успела затвердеть и перейти в камень.
Затем поверхность зуба полируется, что делает ее более гладкой. Таким образом, процесс образования зубного камня достигается намного медленнее, так как ему будет труднее прилипнуть к поверхности полированного гладкого зуба.
Процедура удаления зубного камня на зубах
Из-за силы, с которой камни прилипают к зубу, удалить их в домашних условиях невозможно. Процесс удаления зубного камня с зубов требует специальных инструментов. Иногда можно заметить, что некоторые камни удаляются после употребления твердой пищи или во время гигиены полости рта. Но только очень спорадически.
Лечение для удаления зубных камней будет зависеть от типа зубного камня, то есть наддесневого или поддесневого.
Если они наддесневые, стоматолог или гигиенист может удалить их с помощью электрического или ручного оборудования.
Когда камни поддесневые, во многих случаях необходимо будет применять местную анестезию, чтобы их можно было удалить, не причиняя пациенту боли.
Кроме того, после его удаления необходимо будет подготовить стенки зубов, чтобы они не были шершавыми и в дальнейшем замедляли образование зубного камня.
Иногда невозможно удалить весь зубной камень, вставив инструменты в десну. В этих случаях необходимо приподнять десну, сделав надрез с помощью небольшой хирургической операции, чтобы получить полный обзор всей очищаемой поверхности. Эта процедура известна как кюретаж.
Вы должны иметь в виду, что в зависимости от вашей гигиены полости рта и типа слюны, зубной камень всегда будет повторно образовываться в большей или меньшей степени. По этой причине рекомендуется регулярно посещать стоматолога, при необходимости удалять зубной камень.
Последствия зубного камня для здоровья
Зубной камень способствует размножению бактерий и закреплению бактериального налета во рту. Он также мешают правильной чистке зубов.
Зубной камень способствует развитию большинства наиболее распространенных заболеваний полости рта:
- Галитоз;
- Пародонтит;
- Гингивит;
- Резорбция костной ткани и потеря зубов;
- Изменение эстетического вида ротовой полости.
Как избежать образования зубных камней?
Главный способ предотвратить образование зубного камня на зубах — это гигиена полости рта:
- Ежедневная чистка зубов не реже двух раз в день.
- Ежедневная чистка зубной нитью не реже одного раза в день. Это один из самых полезных инструментов для очистки труднодоступных для щетки мест.
- Если вам сложно добраться до некоторых мест, рекомендуем межзубные щетки, ирригаторы для полости рта.
- Регулярные консультации у специалиста и профессиональные чистки не реже 1 раза в полгода.
- Употребление в пищу некоторых продуктов, способствующих естественной чистке зубов: волокнистых продуктов, таких как сырой сельдерей, яблоко и морковь.
- Избегайте употребления продуктов, способствующих накоплению бактерий зубного налета, таких как крахмал, хлеб и сахар.
- Уменьшите потребление газированных напитков, они также способствуют появлению зубного камня из-за высокого pH.
Если вам необходимо удалить зубной камень в Анапе, запишитесь по телефону, указанному на сайте.